Full-Service Dental Implants in Perth
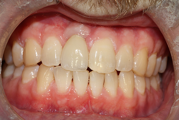
Dental implants are the most advanced form of tooth replacement technology, offering patients a tooth that looks, feels and acts exactly like a natural tooth. The dental implants offered at our Perth based clinic are so authentic-looking, it’s virtually impossible to tell the difference.
What Are Dental Implants?
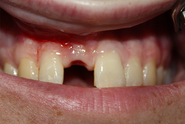
Dental implants are a permanent form of denture used to replace missing teeth and restore a patient’s smile. There are various types of implant methods ranging from zygomatic, subperiosteal, endosteal and transosteal; with endosteal being the most common type of dental implant used to replace lost or missing teeth. This procedure involves metal posts that are surgically positioned beneath the gums and into the jaw bone, artificial teeth are then mounted onto these posts. Teeth implants feel more natural than dentures or bridges and provide a more stable environment for talking and eating. Implants can be for a single tooth, several teeth or for an entire arch.



