What Are Porcelain Veneers?
Porcelain veneers are a fast, safe and affordable aesthetic treatment that is used to rectify a number of dental concerns. Fabricated using medical grade ceramic (porcelain), these thin shells are carefully constructed and attached to the front of teeth, resulting in a transformative smile. Cosmetic enhancements are designed and crafted specifically to each patient’s unique dental structure and colouring in order to produce a natural looking and healthy smile. Unlike composite veneers, porcelain veneers are known for their durability and can last 10 to 15 years with proper care. The translucent quality of porcelain also closely resembles tooth enamel for a more natural look. At South Street Dental Centre, we use porcelain veneers as opposed to composite veneers at our Perth clinic.
Who Is A Candidate For Porcelain Veneers?
This cosmetic procedure can be used to address a variety of dental concerns including chipped, uneven, crooked teeth or irregular gaps between teeth. Porcelain veneers can also be used to correct hyperfluorosis which appear as white specks on teeth, or tetracycline staining. In order to ascertain whether you are a suitable candidate for porcelain veneers, our Perth team of dentists will need to assess your teeth during your initial consultation. The cost of the treatment for porcelain dental veneers in our Perth clinic can be outlined once the dentist assesses the complexity of each case.
What Is The Cost Of Porcelain Veneers In Perth?
The cost of veneers can be outlined once you’ve had an initial consultation for porcelain veneers at our Perth clinic and the dentist has conducted an oral assessment. The cost of porcelain veneers varies with each patient as the complexity of the case dictates price. To find out how much it would cost to perfect your smile, contact us today and request a porcelain veneers consult at our dental clinic. You may find the cost of porcelain veneers at other Perth clinics to be quite steep, with some charging up to $1500 per veneer for the same tooth. At South Street Dental, we’re committed to providing all our patients with the highest quality care at affordable prices.
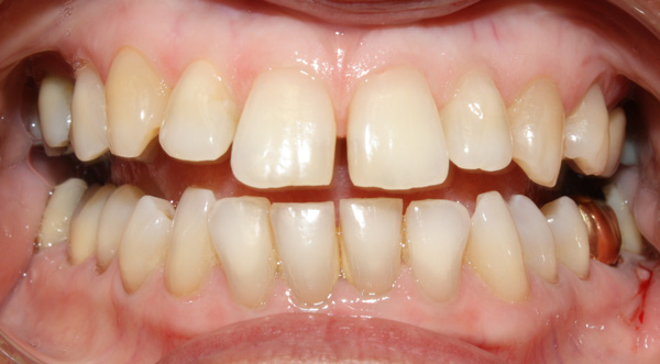
Before and after using veneers to improve gaps and even out teeth sizes and shapes.
Book A Consultation
With our advanced 3D scanning and milling technology, most porcelain veneers can be made at our Perth clinic in just one visit while you wait. This means you’ll be able to walk out with renewed confidence in your brand new smile!
For more information regarding the procedure or cost of porcelain veneers in our Perth clinic, or to book a consultation, contact us today on (08) 9337 7388 or send an email to reception@southstdental.com.au.

